Наша стоматологическая работа
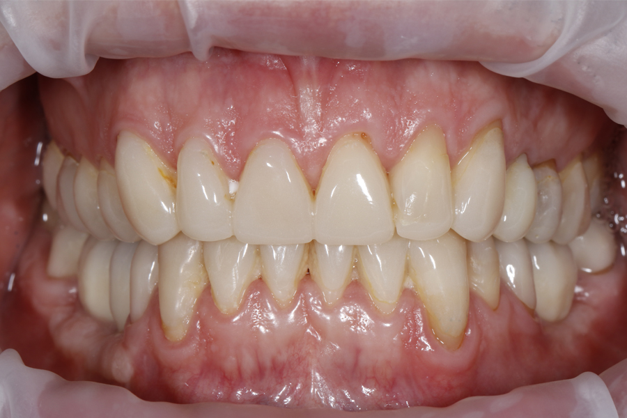
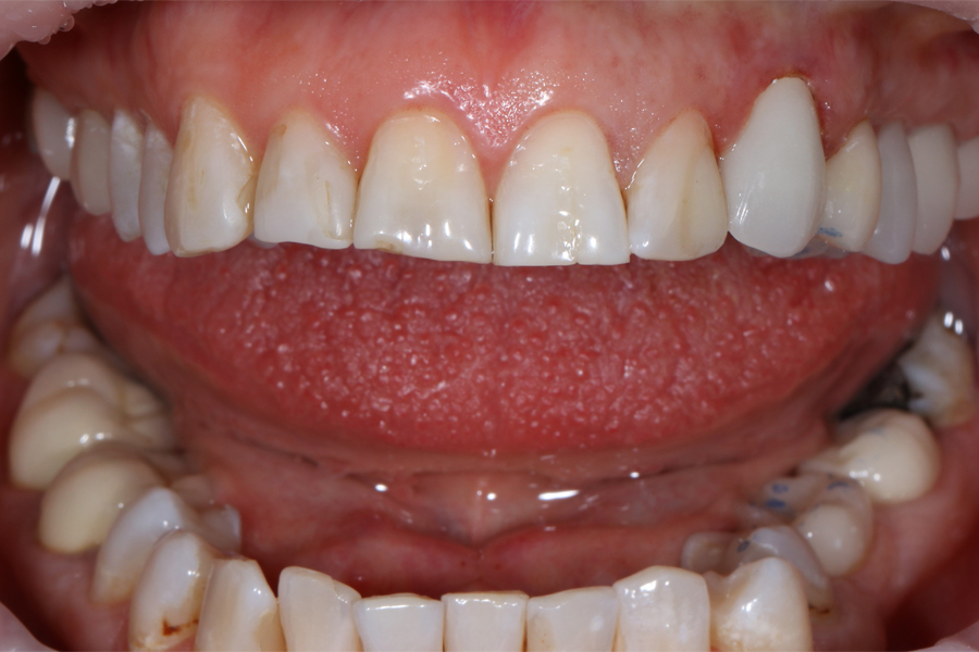
До лечения
После преобразования
Pilna smaida rehabilitācija, kas ietvēra sakodiena korekciju, kā arī keramikas kroņu un venīru uzstādīšanu.
До лечения
После преобразования
Smaida rehabilitācija, kas ietvēra keramikas kroņu un venīru uzstādīšanu.
Наша стоматологическая работа
До лечения
После преобразования
Pilna smaida rehabilitācija, kas ietvēra sakodiena korekciju, kā arī keramikas kroņu un venīru uzstādīšanu.
До лечения
После преобразования
Smaida rehabilitācija, kas ietvēra keramikas kroņu un venīru uzstādīšanu.
- Lācplēša iela 54
- Google maps
- +371 26444567
- riga@abdental.lv
- riga@abdental.lv
- Понедельник - Пятница: 08:30-19:30
- Суббота: Закрыто
- Воскресенье: Закрыто
Вас встретят
-
Oļesja
Aiva un Inga
- Поделитесь своим опытом и оцените нас в Google!
- + Добавить отзыв
Vistuvāk klīnikai transportlīdzekli var novietot Lāčplēša ielā (B zona), kā arī autostāvvietās Lāčplēša ielā 57 (L57 zona) un Lāčplēša ielā 63 (L63 zona). Ērtākai un ātrākai autostāvvietas apmaksai iesakām izmantot Mobilly lietotni.
Lai tiktu pagalmā, kurā atrodas klīnika, lūdzu izmantojiet kodu 7727#.
- Pededzes iela 10
- Google maps
- +371 25747434
- +371 27887893
- marupe@abdental.lv
- Понедельник - Пятница: 09:00-19:00
- Суббота: 10:00-18:00
- Воскресенье: Закрыто
Вас встретят
-
Aiva -
Inga
- Поделитесь своим опытом и оцените нас в Google!
- + Добавить отзыв
Вы можете припарковать транспортное средство на бесплатной автостоянке доктората Mārupes Doktorāts (зона MUR) на один час.
Припарковав транспортное средство, начните процедуру оплаты посредством SMS-сообщения или приложения Mobilly и, зайдя в клинику, сразу сообщите регистратору пациентов регистрационный номер транспортного средства. Мы активируем бесплатное время.
Велосипед в летний сезон можно оставить на специальной парковке напротив дверей доктората Mārupes Doktorāts. Рекомендуем обязательно пристегнуть велосипед замком.
- Понедельник - Пятница: 09:00-19:00
- Суббота: 10:00-18:00
- Воскресенье: Закрыто
- Rīga
- Mārupe
-
-
Филиал на улице Pededzes
-
Напишите в WhatsApp
- marupe@abdental.lv
- Понедельник - Пятница: 09:00-19:00
- Суббота: 10:00-18:00
- Воскресенье: Закрыто
-
-
-
Филиал на улице Lacplesa
- +371 26444567
-
Напишите в WhatsApp
- riga@abdental.lv
- Понедельник - Пятница: 08:30-19:30
- Суббота: Slēgts
- Воскресенье: Закрыто
-
- Ваш отзывнаш источник вдохновения и роста
- Поделитесь своим опытом и оцените нас в Google!
- + Добавить отзыв
-
Ваш отзывнаш источник вдохновения и роста
- Поделитесь своим опытом и оцените нас в Google!
- + Добавить отзыв
- ALGORITMS L SIA
- Регистрационный номер предприятия: 42102026314
- Код медицинского учреждения: 170064506
- Политика конфиденциальности
-
В филиал Liepāja

